Skip to content
Skip to content
Location 308 Main St, Gaithersburg, MD 20878
Location(301) 977-9787
Kentlands Dental Group
Book Your Appointment
  • Home
  • About Us
    • Meet Dr. Azimaie
    • Why Choose Us?
    • Before / After
      • Dental Implant cases
      • Wisdom teeth Removal cases
      • Root Canal Therapy
      • Dental Prosthetics
  • All Services
    • I’m Nervous About the Dentist
    • I’m Interested in Cosmetic Dentistry
      • Porcelain Veneers
    • I Want a Smile Makeover
    • I’m Missing a Tooth (or Multiple Teeth)
      • Dental Bridges
      • Dental Implants
        • Am I A Candidate?
        • Dental Implant FAQs
        • Full-Mouth Implants
        • What Are Your Options?
        • What to Expect
      • I Need a Family Dentist
        • Cleanings & Exams
        • Custom Mouthguards
        • Dental Crowns
        • Dental Fillings
        • Dental Sealants
        • Inlays & Onlays
    • I Need to Straighten My Teeth
      • Invisalign
    • Wisdom Teeth Removal
    • Root Canal Therapy
    • I Want a Brighter, Whiter Smile
      • Teeth Whitening
    • I Have Gum Problems
      • Laser Dentistry
      • Periodontal Treatment
    • Dentures & Partials
    • Smile Design
    • Dental Prosthetics
  • Dental Implants
    • Am I A Candidate?
    • Dental Implant cases
    • Dental Implant FAQs
    • Full-Mouth Implants
    • What Are Your Options?
    • What to Expect
    • I’m Nervous About the Dentist
  • Wisdom Teeth Management
    • Wisdom Teeth Removal
    • Wisdom teeth Removal cases
    • I’m Nervous About the Dentist
  • Invisalign
  • Emergency Dentistry
Book Your Appointment

Root Canal Therapy
in Gaithersburg, MD

Book Your Appointment

Tooth pain, abscesses, or deep decay don’t have to lead to extractions. Our root canal therapy preserves your natural teeth and eliminates infection at the source.
We routinely treat:

  • Severely Curved or Misshaped Roots – that most practices refer out.
  • Re-Treatments – for failed root canals from previous providers.
  • Teeth with Multiple or Hidden Canals – including accessory canals often missed without advanced imaging.
  • Infections Beneath Dental Crowns or Bridges – preserving existing prosthetics without unnecessary replacements.
  • Extensive Bone or Gum Infections – handled with precision and complete sterilization techniques.

With our state-of-the-art equipment and high-resolution imaging, no root or canal is too complex for our experienced clinicians.

Book Your Appointment
Extreme Curved Roots
Retreatment of Rootcanal
Teeth With Unconventional Number of Roots or Canals
Rootcanal therapy through dental prosthesis
Accessory Canals
Management of Extensive Infection

Root Canal Therapy Cases

Before After Image

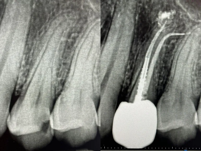
Extreme Curved Roots

Case by Dr. Taha Azimaie: Rootcanal treatment in extreme curved roots is technique sensitive procedure and require skills and right equipments.

Before After Image

Retreatment of Rootcanal

Case by Dr. Taha Azimaie: Retreatment of failed rootcanal can give a patient another chance to retain the tooth. Retreatment is case selective and not all failed rootcanals are treatable. In this case root canal has failed due to poor sealing of the canals (The white lines in the roots) during the first treatment. Please note the sharp deviation of the canal at the tip of the root (the white line)

Before After Image

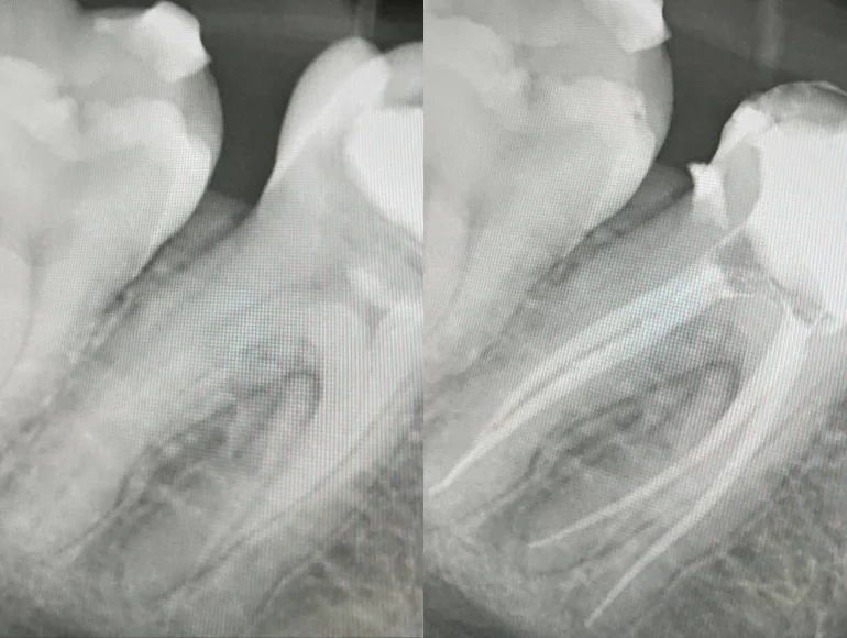
Teeth With Unconventional Number of Roots or Canals

Case by Dr. Taha Azimaie: Identifying unconventional number of roots and canals is the key in long term survival of the tooth. Tooth number 4, upper right premolar, usually have 1 pulp chamber, 1 root and 1 canal. This tooth have complex shape with 2 pulp chambers and 3 canal.

Before After Image

Rootcanal therapy through dental prosthesis

Case by Dr. Taha Azimaie: Retreatment of rootcanal through dental prosthesis can save patient money and dental visits. This tooth endodontically treated and was part of a dental bridge. The tooth also contained a long pin (AKA post) that is cemented deep in the canal, removal of a post is a challenging procedure and can lead to tooth fracture. In this case, an access hole made through the bridge and post removed. Root canal therapy retreated and the access hope filled with dental filling material. Now this dental bridge can last longer and may not require replacement.

Before After Image

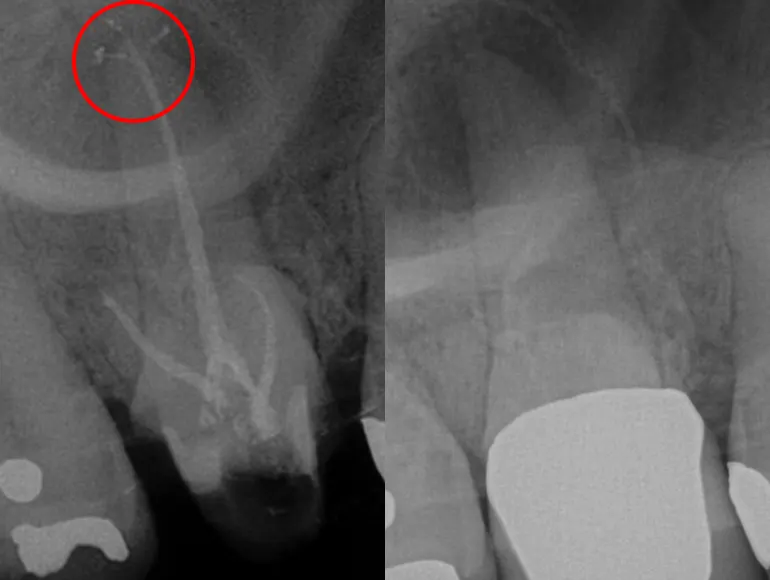
Accessory Canals

Before After Image

Management of Extensive Infection

Why Choose Kentlands Dental?

Why Choose Kentlands Dental?

  • Compassionate Team with Advanced Training
  • Technology-Driven Diagnostics
  • Seamless Integration of Surgical & Restorative Care
  • Trusted by Patients with Complex Dental Histories

Don’t settle for temporary solutions. If you’re dealing with pain, missing teeth, or dental complications, schedule a consultation and experience what expert, full-scope dentistry should feel like.

Call us today or book online to get started.

Book Your Appointment
Kentlands Dental Group

Many people are in pain, unable to smile, or eat the foods they love. We offer same day smile transformations, giving you the ability to live the life you deserve.

Quick Links

  • Services
  • Sitemap
  • Privacy Policy
  • Terms & Conditions

Address

308 Main St,
Gaithersburg, MD 20878

Hours

Monday - Friday: 8AM - 4PM

Saturday - Sunday: Closed

© Copyright Kentlands Dental Group - All Rights Reserved.

  • Home
  • About Us
    • Meet Dr. Azimaie
    • Why Choose Us?
    • Before / After
      • Dental Implant cases
      • Wisdom teeth Removal cases
      • Root Canal Therapy
      • Dental Prosthetics
  • All Services
    • I’m Nervous About the Dentist
    • I’m Interested in Cosmetic Dentistry
      • Porcelain Veneers
    • I Want a Smile Makeover
    • I’m Missing a Tooth (or Multiple Teeth)
      • Dental Bridges
      • Dental Implants
        • Am I A Candidate?
        • Dental Implant FAQs
        • Full-Mouth Implants
        • What Are Your Options?
        • What to Expect
      • I Need a Family Dentist
        • Cleanings & Exams
        • Custom Mouthguards
        • Dental Crowns
        • Dental Fillings
        • Dental Sealants
        • Inlays & Onlays
    • I Need to Straighten My Teeth
      • Invisalign
    • Wisdom Teeth Removal
    • Root Canal Therapy
    • I Want a Brighter, Whiter Smile
      • Teeth Whitening
    • I Have Gum Problems
      • Laser Dentistry
      • Periodontal Treatment
    • Dentures & Partials
    • Smile Design
    • Dental Prosthetics
  • Dental Implants
    • Am I A Candidate?
    • Dental Implant cases
    • Dental Implant FAQs
    • Full-Mouth Implants
    • What Are Your Options?
    • What to Expect
    • I’m Nervous About the Dentist
  • Wisdom Teeth Management
    • Wisdom Teeth Removal
    • Wisdom teeth Removal cases
    • I’m Nervous About the Dentist
  • Invisalign
  • Emergency Dentistry
Kentlands Dental Group