Skip to content
Skip to content
Location 308 Main St, Gaithersburg, MD 20878
Location(301) 977-9787
Kentlands Dental Group
Book Your Appointment
  • Home
  • About Us
    • Meet Dr. Azimaie
    • Why Choose Us?
    • Before / After
      • Dental Implant cases
      • Wisdom teeth Removal cases
      • Root Canal Therapy
      • Dental Prosthetics
  • All Services
    • I’m Nervous About the Dentist
    • I’m Interested in Cosmetic Dentistry
      • Porcelain Veneers
    • I Want a Smile Makeover
    • I’m Missing a Tooth (or Multiple Teeth)
      • Dental Bridges
      • Dental Implants
        • Am I A Candidate?
        • Dental Implant FAQs
        • Full-Mouth Implants
        • What Are Your Options?
        • What to Expect
      • I Need a Family Dentist
        • Cleanings & Exams
        • Custom Mouthguards
        • Dental Crowns
        • Dental Fillings
        • Dental Sealants
        • Inlays & Onlays
    • I Need to Straighten My Teeth
      • Invisalign
    • Wisdom Teeth Removal
    • Root Canal Therapy
    • I Want a Brighter, Whiter Smile
      • Teeth Whitening
    • I Have Gum Problems
      • Laser Dentistry
      • Periodontal Treatment
    • Dentures & Partials
    • Smile Design
    • Dental Prosthetics
  • Dental Implants
    • Am I A Candidate?
    • Dental Implant cases
    • Dental Implant FAQs
    • Full-Mouth Implants
    • What Are Your Options?
    • What to Expect
    • I’m Nervous About the Dentist
  • Wisdom Teeth Management
    • Wisdom Teeth Removal
    • Wisdom teeth Removal cases
    • I’m Nervous About the Dentist
  • Invisalign
  • Emergency Dentistry
Book Your Appointment

Dental Prosthetics
in Gaithersburg, MD

Book Your Appointment
Dental Prosthetics: Crowns, Bridges & Full Restorations

Dental Prosthetics: Crowns, Bridges & Full Restorations

We help patients rebuild their smiles with custom, high-quality prosthetics designed for comfort, function, and esthetics.

Our services include:

  • Tooth-Colored Crowns – crafted to match your natural teeth while restoring strength.
  • Dental Bridges – ideal for replacing one or more missing teeth without surgery.
  • Implant-Supported Prosthetics – long-lasting solutions for full-mouth restoration or single-tooth loss.
  • Precision Fit for Existing Restorations – we understand how to protect prior dental work and integrate new prosthetics seamlessly.

Our philosophy: prosthetics should look and feel like your own teeth. We partner closely with skilled labs and use digital technology to ensure a perfect fit every time.

Book Your Appointment
Smile Reconstruction
Veneers
Lower Front Teeth Crowns
Restoring Confidence
Fixing imperfection caused by erosion, grinding, and fracutures
Crowns
Esthetic Versus Cosmetic
Correcting Teeth Misalignment by Prosthetic Work (Crowns and Veneers)

Prosthetic Cases

Before After Image Before After Image Before After Image

Smile Reconstruction

Before After Image

Veneers

Case by Dr. Taha Azimaie: 8 units ceramic veneers. Patient previously had composite veneers. Composite veneer require less tooth preparation but can chip easier than ceramic and will change color over time. They generally look chalkier. In this case, some of them were chipped or broken and they all stained.

Before After Image

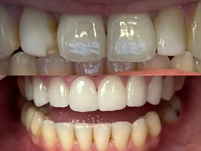
Lower Front Teeth Crowns

Case By Dr. Taha Azimaie: Cosmetic work on lower front teeth matters as much as upper front teeth. 7 units of crowns for lower front teeth. Patient presented to finish his incomplete full mouth rehabilitation done elsewhere. Patient preference was full coverage crowns instead of veneers.

Before After Image

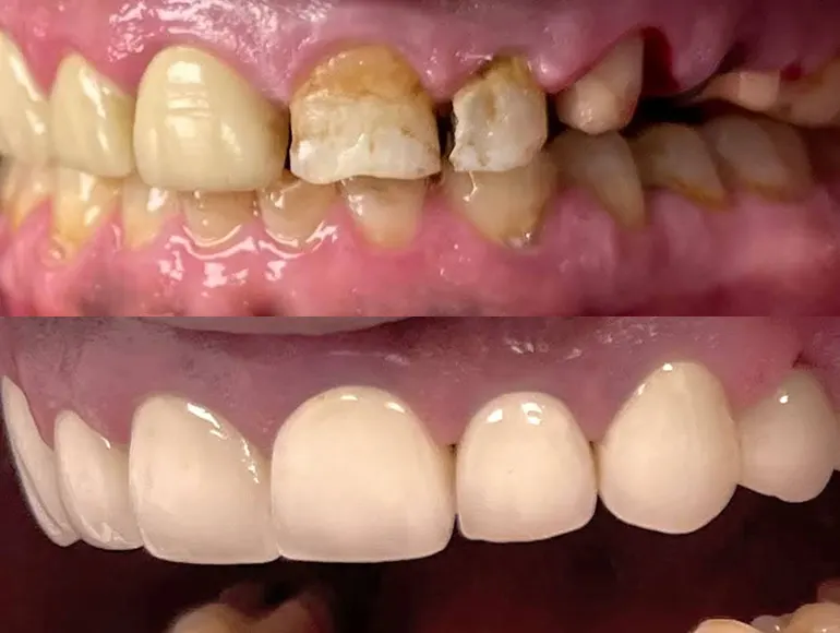
Restoring Confidence

Case by Dr. Taha Azimaie: A beautiful smile can restore confidence. The patient was not comfortable with her smile. For years she was not smiling wide because she was “embarrassed by black spots on her teeth”. A combination of crowns, porcelain veneers, and bridges brought back her confidence to smile wide and express her joy pride.

Before After Image

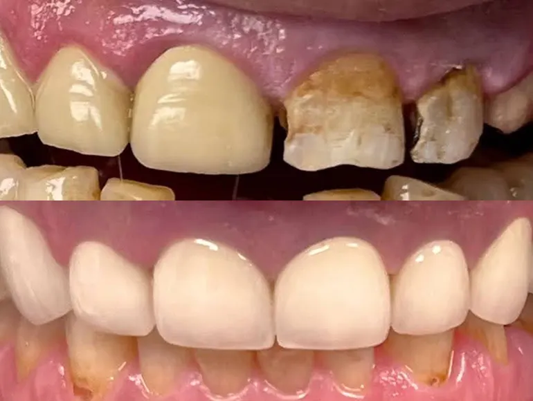
Fixing imperfection caused by erosion, grinding, and fracutures

Case by Dr. Taha Azimaie: acid reflux is not only disturb digestive system but can erode teeth and result in rampant decay. This patient did not like the result of the work done by his previous dentist. His Bridge on the back teeth fell. He is also not happy with the color of his front crowns (the left teeth in the picture). Previous crowns replaced, prophylactic Rootcanal therapy performed on teeth with severe decay. Teeth on the right side of the picture crowned, and a new Bridge delivered.

Before After Image

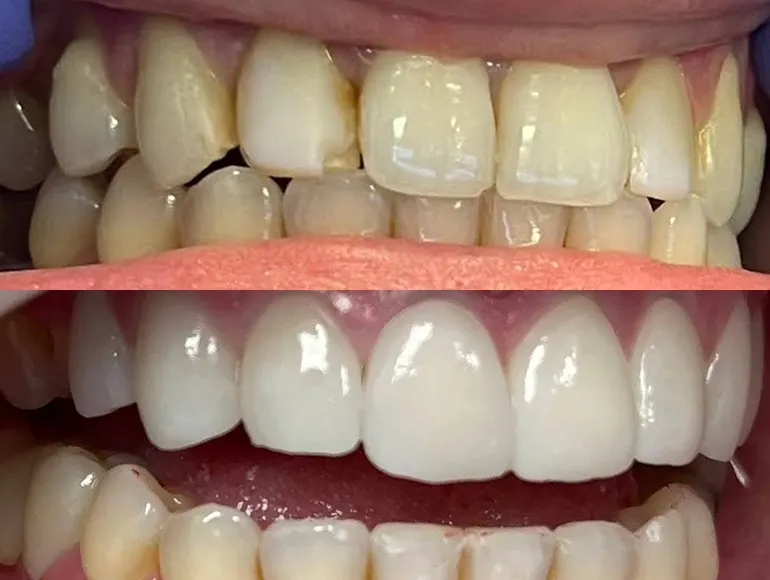
Crowns

Case by Dr. Taha Azimaie: 4 units crowns. Patient had composite veneer that was broken and stained. She did not want any kind of veneer due to her previous experience and elected crowns. Gum surgery would have improved the result but the patient rejected that.

Before After Image

Esthetic Versus Cosmetic

Case by Dr. Taha Azimaie: esthetic work does not necessary mean cosmetic work (perfect teeth). Sometimes restoring the natural look of patients teeth is the goal. Patient initially wanted to restore (Fill) his front teeth cavities but after removing all the decay we decided to crown the front teeth. He insisted that the front teeth should look natural and have some imperfection just like his own teeth.

Before After Image

Correcting Teeth Misalignment by Prosthetic Work (Crowns and Veneers)

Case by Dr. Taha Azimaie: teeth overlap increases the chance for developing decay. This patient could not clean her front teeth properly and as a result a large decay developed in the front tooth. The tooth become infected and required rootcanal therapy. By crowning the two front teeth the angulation of the teeth was also corrected. The “before” photo is temporary crowns that was the replica of her untouched teeth.

Why Choose Kentlands Dental?

Why Choose Kentlands Dental?

  • Compassionate Team with Advanced Training
  • Technology-Driven Diagnostics
  • Seamless Integration of Surgical & Restorative Care
  • Trusted by Patients with Complex Dental Histories

Don’t settle for temporary solutions. If you’re dealing with pain, missing teeth, or dental complications, schedule a consultation and experience what expert, full-scope dentistry should feel like.

Call us today or book online to get started.

Book Your Appointment
Kentlands Dental Group

Many people are in pain, unable to smile, or eat the foods they love. We offer same day smile transformations, giving you the ability to live the life you deserve.

Quick Links

  • Services
  • Sitemap
  • Privacy Policy
  • Terms & Conditions

Address

308 Main St,
Gaithersburg, MD 20878

Hours

Monday - Friday: 8AM - 4PM

Saturday - Sunday: Closed

© Copyright Kentlands Dental Group - All Rights Reserved.

  • Home
  • About Us
    • Meet Dr. Azimaie
    • Why Choose Us?
    • Before / After
      • Dental Implant cases
      • Wisdom teeth Removal cases
      • Root Canal Therapy
      • Dental Prosthetics
  • All Services
    • I’m Nervous About the Dentist
    • I’m Interested in Cosmetic Dentistry
      • Porcelain Veneers
    • I Want a Smile Makeover
    • I’m Missing a Tooth (or Multiple Teeth)
      • Dental Bridges
      • Dental Implants
        • Am I A Candidate?
        • Dental Implant FAQs
        • Full-Mouth Implants
        • What Are Your Options?
        • What to Expect
      • I Need a Family Dentist
        • Cleanings & Exams
        • Custom Mouthguards
        • Dental Crowns
        • Dental Fillings
        • Dental Sealants
        • Inlays & Onlays
    • I Need to Straighten My Teeth
      • Invisalign
    • Wisdom Teeth Removal
    • Root Canal Therapy
    • I Want a Brighter, Whiter Smile
      • Teeth Whitening
    • I Have Gum Problems
      • Laser Dentistry
      • Periodontal Treatment
    • Dentures & Partials
    • Smile Design
    • Dental Prosthetics
  • Dental Implants
    • Am I A Candidate?
    • Dental Implant cases
    • Dental Implant FAQs
    • Full-Mouth Implants
    • What Are Your Options?
    • What to Expect
    • I’m Nervous About the Dentist
  • Wisdom Teeth Management
    • Wisdom Teeth Removal
    • Wisdom teeth Removal cases
    • I’m Nervous About the Dentist
  • Invisalign
  • Emergency Dentistry
Kentlands Dental Group